



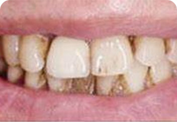
網路上很多美白牙齒的小方法,在沒有專業指導下,很容易造成牙齒傷害,效果也不理想。
而專業的牙齒美白技術不僅可以避免上述問題還要能保持美白效果持久。









採用凝膠美白劑,塗在牙齒表面釋放美白因數,在5到10分鐘內通過牙釉質到達牙本質,保留牙體組織,不傷牙神經。
牙齒美白技術操作的醫生均為經驗豐富和高資質的牙科醫生,深圳博愛曙光口腔醫院的美白修復醫師團從事口腔醫療工作20餘年,且持有美白認證證書。
採用臨床與家庭緊密結合的方式,使用數位化美白技術可使牙齒提升14個色階,達到好萊塢明星般的亮白牙齒,效果可長期維持。

可以,深圳專業牙科醫院接受上述的服務,以及各種形式的支付工具。
除了基本牙齒檢查,以及洗牙等之外,我們亦有其他牙科服務,例如有補牙脫牙,種牙、杜牙根、拔智慧齒,以及箍牙等。
是的,我們是無假日牙科醫院,於公眾假期也會有為大家提供服務的。
我哋除咗普通科医生,仲有专门为小朋友处理牙嘅儿童齿科医生,力求为每位病人及其屋企人提供全面的服務。